论文题目:Structure Boundary Preserving Segmentation for Medical Image with Ambiguous Boundary
作者单位:
主要看点:
边界模糊 (ambiguous structure boundaries) 和 多种类型组合的纹理 (heterogeneous textures) 导致医疗图像中目标物体的准确范围难以确定。
为了解决这个问题,加入了 boundary key points 的监督,让网络自身去预测可能的 key points,从而更加注重于边界的定位和结构化信息。
至于为什么引入 key points 监督而不是直接用 boundary 监督,也许是为了避免 GT 标注时候的 uncertainty 问题。
方法部分:
模型的整体结构如下:
Boundary Key-point Selection Module
这一部分是在GT边界上取出N个合适的keypoints, 做法很暴力,随机取点计算由点构成的多边形和GT之间的IoU,多次随机后取IoU最大的一次作为结果,算法如下:
可视化效果大致如下(从左到右三次循环):
Boundary Preserving Block (BPB)

该模块如下运算:
其中是生成的 boundary key point map。在训练中使用 cross-entropy loss 监督如下
,
并不是一个单像素的,是一个半径为 R 的⚪。
Shape Boundary-aware Evaluator (SBE)
用来判断预测图和Boundary key point map 一致性的模块,作为训练时候的损失。

这个网络是是预先训练好的,其优化的损失如下:,其中 D(·) 是
。
Loss Function
Loss function 由三部分组成,第一部分直接是预测图和GT之间的CE Loss:
,
第二部分是之前的那个 keypoints 的 CE loss:,
最后是 boundary aware loss (BA),通过之前的判别器得到:。
最终形式如下:。
实验结果:
从结果上来看,直接加入点的预测和监督对结果提升比较明显。

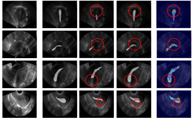
可视化的效果如下:

